Chirurgia cardiacă
Riscul de moarte subită poate fi eliminat de chirurgia cardiacă. Rolul imagisticii multimodale
Dr Razvan Ticulescu, Dr Lucian Dorobantu, Dr Maria Greavu, Dr Maria Alexandrescu
Cardiomiopatie hipertrofcă (CMH) este o boala genetică care determină îngroșarea mușchiului inimii. Este foarte frecventă în populație, la fiecare 500 de indivizi unul având o formă de CMH. Deși evoluția poate fi benignă la cei mai mulți pacienți, există și cazuri,în care CMH influențează atât calitatea vieții, cauzând oboseală, durere toracică, palpitații, cât și însăși supraviețuirea,fiind cauza cea mai frecventă de mortalitate în cadrul sportivilor de performanță. Moartea subită cardiacă este din nefericire adeseori prima manifestare a acestei boli.
Două treimi dintre pacienții afectați au o formă de obstrucție in tractul de ieșire al ventricolului stâng (VS). Acest lucru înseamnă că sângele nu poate ieși din inimă decât cu prețul creșterii foarte mult a presiunii intracardiace pentru a depășii această obstrucție. Se ajunge ca presiunea în interiorul inimii să atingă valorii de 250-300 mmHg, inima resimțind același stress ca și cum tensiunea arterială ar fi tot timpul 250 sau 300 !!! Pe lângă simptomele asociate, această suprasarcină asupra inimii se însoțește și de un prognostic nefavorabil, mai ales în timpul eforturilor viguroase, când contractilitatea crește în mod normal, iar obstrucția la ieșirea sângelui din inimă se accentuează. Înlăturarea obstrucției este asociată cu dispariția simptomelor și cu ameliorarea netă a supraviețuirii, care devine la fel ca și cum boala nu ar fi fost niciodată prezentă [Hugh Watkins, William J. McKenna
The Prognostic Impact of Septal Myectomy in Obstructive Hypertrophic Cardiomyopathy*
Journal of the American College of Cardiology, Volume 46, Issue 3, 2 August 2005, Pages 477-479]
Obstrucția la ieșirea sângelui din VS se datorează atât îngroșării (hipetrofiei) mușchiului cardiac exact în această zonă, cât și modificărilor anatomice ale valvei mitrale. Modificările valvei mitrale fac ca valva să fie practic absorbită în calea jetului de sânge ce iese din inimă, accentuând obstrucția și făcând ca valva să nu se mai închidă eficient, determinând apariția regurgitării mitrale. Astfel, pe lânga faptul ca sângele iese cu dificultate din ventricul, o parte din el refluează înapoi de unde a venit, adică în atriul stâng (AS). De aceea, eliminarea obstrucției se realizează cel mai bine chirurgical, printr-o intervenție care realizează atât îndepartarea mușchiului în exces (miectomia), cât și repararea modificărilor valvulare mitrale (plastia valvei mitrale).

Figura 1. Obstrucția ieșirii sângelui din VS (săgeată) O parte din sânge se întoarce in AS, determinând apariția regurgitării mitrale.
Planificarea intervenției chirurgicale presupune cunoașterea cu exactitate a anatomiei locale, fiecare caz de CMH fiind practic unic din punct de vedere al dispunerii hipertrofiei și al modificărilor valvulare mitrale. Acestea sunt studiate prin imagistică multimodală- folosind ecocardiografia clasică transtoracică, ecografia transesofagiană, |CT cardiac si mai ales rezonanța magnetică cardiacă.Elementele urmărite sunt lungimea cu care valva anterioară depășește pe cea posterioară, deplasarea punctului de coaptare al valvei mitrale spre anterior in tractul de ejecție al VS, rotația mușchilor papilari cu deplasarea cuspei anterioare către anterior, fixarea comisurii anterioare prin benzi musculare, aderențele dintre mușchii papilari și pereții liberi ai VS care împiedică funcționarea corectă în sistolă și tracțiunea pânzei valvulare înspre septul interventricular, prezența cordajelor secundare și a discontinuității mitro-aortice.

Figura 2. Masurarea grosimii mușchiului cardiac în zona care determină obstrucția în vederea miectomiei (eliminării mușchiului în exces). Măsurătorile sunt făcute pe imaginile de rezonanță magnetică, care oferă o rezoluție excelentă, evitându-se astfel pericolul unei secționări în exces, care ar duce la perforarea mușchiului.
Abordul este făcut prin valva aortică care are o suprafață de 2-3 cm2, deci este un abord ‚ pe gaura cheii’ care lasă o cicatrice cât mai redusă la nivel miocardic. Se scot două piese de miocard, una die la nivelul septului anterior, alta de la nivelul septului posterior.

Figura 3. Cele două piese de miocard ce se scot în timpul intervenției chirurgicale de la nivelul septului interventricular anterior si posterior, pentru a inlătura obstrucția.
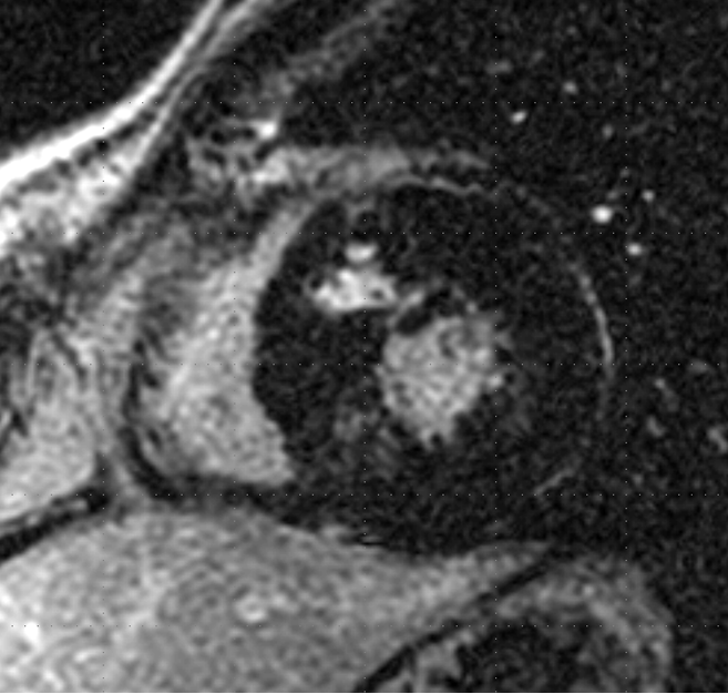
La nivelul miocardului hipetrofic sunt adeseori prezente așa numitele cripte -niște crevase ce străbat mușchiul care devine astfel foarte subțire- și care in cazul unei secționări cu bisturiul pot duce la perforarea acestuia. Identificarea criprelor se poate face doar cu ajutorul rezonanței magnetice.

Figura 4. Prezența criptelor miocardice identificate la explorarea prin rezonanță magnetică cardiacă.
In CMH aritmiile cardiace reprezintă una dintre principalele cazue ale morții subite. Ingroșarea mușchiului este asociată frecvent cu apariția unor zone de cicatrice (fibroză)
intramiocardică, care predispun la apariția aritmiilor potențial fatale. Identificarea fibrozei se face tot cu ajutorul rezonanței magnetice.

Figura 6. Zona de fibroză identificată la rezonanța magnetică
In clinica noastră 64 de pacienți consecutivi au fost operați in perioada mai 2015-aprile 2019. Dintre aceștia, 21 (32,81%) prezentau regurgitare mitrală moderat-severă. Pe baza informațiilor oferite de imagistica preoperatorie, miectomia prin abord transaortic a fost însoțită de plastie valvulară mitrală la toți pacienții cu regurgitare mitrală. Dintre aceștia, un număr de 7 (30%) au avut o ingroșare ușoară a septului interventricular, de sub 18 mm, dar obstrucție severă datorată modificărilor valvei mitrale. La aceși pacienți miectomia, foarte dificilă, datorită riscului de perforare a septului , a fost minimă, plastia valvulară jucând rolul esențial în eliminarea obstrucției. Procedurile de reparare a valvei mitrale (plastie) au constat în tăierea cordajelor secundare, eliberarea si mobilizarea mușchilor papilari, spliting de papilari atunci când a fost necesar, plicatura valvei mitrale anterioare.

Figura 7. Rezultatul postoperator la ecografie transesofagiana. Nu mai există obstrucție la ieșirea din VS iar regurgitarea mitrală este minimă.
Nu s-a inregistrat mortalitate postoperatorie sau protezare valvulară mitrală. Niciun pacient nu a prezentat perforarea septului interventricular postoperator. Regurgitare mitrală moderată postoperator au prezentat 2 pacienți (9%). Obstrucția la ieșirea sângelui din inimă exprimată prin gradientul subvalvular aortic a scăzut de la 76,66+ 14,34mmHg la 12,09 + 4,4 mmHg. Imagistica multimodală joacă așadar un rol important în înțelegerea anatomiei si fiziologiei valvei mitrale în CMHO influențând pozitiv rezultatele intervenției chirurgicale.